原文出處菠蘿因子
很多人都知道,用靶向葯之前通常需要做基因檢測。最典型的就是非小細胞肺癌,患者通常都需要檢測EGFR,ALK,ROS1,RET等基因,如果有對應的突變,就會使用對應的靶向葯。
最近PD-1類免疫藥物大熱,很多人自然就有個問題:使用免疫療法之前,也需要做基因檢測么?大家常說的PD-L1檢測又是什麼東西?
今天咱們就聊聊這個,主要以肺癌為例。
(一)
靶向藥物之所以推薦基因檢測,是因為能預測藥物是否起效,有EGFR突變患者用EGFR靶向藥物效果不錯,但沒有這個突變的,用它效果就不理想。
讓患者用最適合自己的藥物,臨床生物標記物(Biomarker)的價值,主要就在於此。
基因檢測只是生物標記物的一種,驗血時候的各種指標,腫瘤表達的各種蛋白等,也都可以成為生物標記物。
治療的時候用什麼生物標記物,是和每個藥物本身特性緊密相關的。EGFR基因突變之所以能預測EGFR靶向藥效果,是因為這個藥針對的就是攜帶EGFR突變的細胞。所以,有突變,就有療效;無突變,就療效不佳。
但免疫療法不同,PD-1類免疫藥物針對的是免疫系統,所以起效原理和直接針對癌細胞的靶向藥物截然不同,生物標記物也不同。簡單測試基因突變對它的意義有限。
腫瘤的PD-L1染色是常見的免疫生物標記物之一。
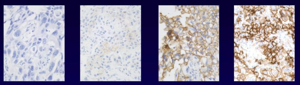
PD-L1染色,是指用特異的抗體來檢測(腫瘤)組織中PD-L1蛋白的表達量。它最終在顯微鏡下呈現的效果是下面這樣:
PD-L1蛋白表達是通過褐色展示,染色越深,覆蓋的細胞越多,陽性越強。上圖中,最左邊是一個陰性組織(PD-L1染色陽性細胞<1%),最右邊則是強陽性的組織(PD-L1染色陽性細胞>50%)。
目前主流理論認為,部分腫瘤細胞通過高表達PD-L1蛋白來結合免疫細胞上的PD-1蛋白,從而抑制免疫細胞的攻擊。而PD-1抑制劑的作用,正是打破這種PD-L1和PD-1的結合,從而激活免疫細胞,尤其是T細胞,完成對腫瘤細胞的攻擊。
順着這種理論,有人猜想,如果腫瘤表達PD-L1越多,或許PD-1免疫藥物效果越好。
在一些臨床試驗,比如針對黑色素瘤的試驗里,確實看到一些苗頭。整體而言,PD-L1表達高的患者,響應免疫療法的概率更高。
但這是指一個群體,具體落實到個人,情況就很複雜了。PD-L1做臨床生物標記物依然受到很大爭議,主要就是因為它無法準確預測個體療效。
幾乎所有臨床試驗中,我們都看到了某些PD-L1陰性的患者響應免疫療法,我們也看到某些PD-L1強陽性的患者,一點效果都沒有。
雖然PD-L1陰性的患者整體有效率更低,但一旦起效,療效就和PD-L1陽性患者差不多。還是在CheckMate 057中,非鱗癌的PD-L1染色陽性患者(腫瘤組織中PD-L1表達水平>1%)使用O葯的中位持續緩解時間為16個月,而非鱗癌的PD-L1染色陰性的患者,中位持續緩解時間居然是18.3個月。
而對於PD-L1陰性的鱗癌患者療效也比較明確,Checkmate 017研究隨訪2年結果,O葯治療與化療相比死亡風險可降低42%。而對於PD-L1陽性的鱗癌患者,隨訪2年結果,O葯治療與化療相比死亡風險顯著降低25%。可見無論PD-L1表達狀態如何,鱗癌患者都可以從治療中獲益。
所以,我們顯然不能因為患者是PD-L1染色陰性,就告訴他/她:「你不能用免疫療法,因為肯定無效。」
大家對如何對待PD-L1這個「免疫生物標記物」,還遠遠沒有達成共識。
(二)
PD-L1之所以作為生物標記物不理想,有技術上的問題,尤其是染色本身問題多多。比如,抗體不同,結果可能不同,樣品處理不同,結果也可能不同,等等。
除此之外,更重要還有PD-L1自身的生物學原因。最主要的有兩點:
第一是分佈不均。PD-L1在腫瘤內部並非均勻分佈,同一個腫瘤組織,可能一些部分表達陽性,一些部分表達陰性。這就帶來了隨機問題,因為取樣可能取到陽性表達的部分,也可能取到陰性表達的部分。一塊所謂「PD-L1陰性」的腫瘤組織,很可能換個地方取樣檢測,就是陽性的了。
第二是表達不穩定。PD-L1蛋白表達受到很多分子信號影響,會上下動態變化。一塊看似表達低的腫瘤組織,或許第二天表達就高了。
這些都會給判定PD-L1是陽性還是陰性帶來巨大幹擾。
那別的標記物呢?
除了PD-L1,大家還嘗試了很多別的標記物,比如腫瘤突變負荷(TMB),免疫指數(Immune Score)等。
但到目前為止,還沒有一個完美的單獨標記物。
免疫系統和腫瘤之間的相互關係錯綜複雜,受到很多因素影響。最近甚至發現腸道菌群,甚至人的飲食習慣都能影響免疫療法效果。
所以大家目前傾向於認為,真正要預測免疫療法效果,可能需要多種標記物的組合,而不會像靶向治療那樣有一個單一標記物。
比如,下面這篇最近剛發表在《科學》上的論文,就探討了對多個標記物聯合使用的可能性。從預測效果來看,比單一標記物要好,但依然不夠好。
(三)
說了這麼多,目前中國臨床治療中,到底要不要做PD-L1檢測呢?
具體情況具體分析,多數時候是不需要的。
第一,取決於瘤種。
有些腫瘤療效和PD-L1表達量有一些關聯,比如紫外線損傷相關的黑色素瘤,大家可以考慮做,但有些就沒那麼高,比如經典霍奇金淋巴瘤。它整體表達都比較高,就不用測了。
第二,取決於一線還是二線。
在肺癌中,一線單獨使用免疫藥物可以考慮檢測,因為研究發現PD-L1強陽性(>50%)的患者獲益最大。但二線治療目前不推薦,一方面是有研究發現PD-L1陰性患者也能獲益,另一方面是因為二線患者有效治療選擇本來就很少,化療效果也一般,再使用PD-L1來做選擇意義有限。
第三,取決於是單獨用免疫葯,還是聯合用藥。
在肺癌的一線臨床試驗中,如果PD-1抑制劑藥物一線單獨使用,PD-L1陰性患者幾乎不獲益,因此做檢測很有價值,但免疫葯聯合化療用於一線的時候,即使陰性患者也能受益,因此並不需要檢測。
第四,取決於就診醫院。
雖然說PD-L1檢測比較快,但涉及20步以上的人工操作,中國很多醫院病理科還沒有建立起穩定的PD-L1染色質控系統,因此目前檢測意義不大。
第五,取決於經濟情況。
任何檢測,無論PD-L1,腫瘤突變負荷還是免疫指數,都是需要花錢的。而無論O葯還是K葯,在中國定價都是世界最低(一個月2萬左右)。在經濟條件允許,而且其它選擇都不理想的時候,直接盲試免疫檢查點抑制劑藥物一段時間看情況,是一個非常現實的選擇。
(四)
精準醫療時代,我們希望能把藥用在最可能受益的患者身上,因此對能預測療效的生物標記物研究很重要。
但目前,免疫治療依然還沒有一個統一,且大家認可,效果良好的生物標記物。是否要做PD-L1等各種檢測,取決於很多因素,除了科學上的考量,還要參考患者疾病進展,整體身體狀態,家庭經濟情況,等等。
希望能有更好的標記物被發現,也希望更多的免疫治療方法被驗證,惠及更廣大的患者群體。
致敬生命!
參考文獻:
1:Peripheral and tumorimmune correlates in patients with advanced melanoma treated with nivolumab(anti-PD-1, BMS-936558, ONO-4538) monotherapy or in combination withipilimumab. J Transl Med 2014;12:O8.
2:PD-L1 Expression asa Predictive Biomarker in Cancer Immunotherapy. Mol Cancer Ther. 2015Apr;14(4):847-56.
3:Pan-tumor genomicbiomarkers for PD-1 checkpoint blockade–based immunotherapy. Science 362, 197(2018)
